近年来,学院不断优化队伍结构、加强团队建设与合作,加大经费投入,丰富学术交流,营造良好的学术氛围,促进了高水平成果的产出。今年以来,学院科学研究在多个领域均取得重要进展,贺军民、王筱冰、夏海滨、王国栋等课题组先后在国际顶级期刊发表一系列学术论文。
贺军民课题组在Plant Physiology发表关于丝分裂原活化蛋白激酶在气孔运动中的作用的研究论文
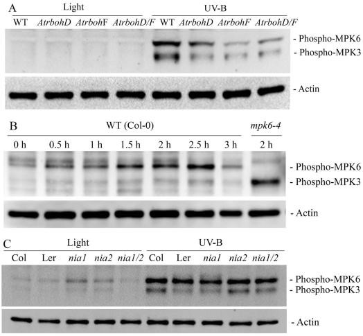
贺军民教授植物细胞信号转导课题组科研成果“Mitogen-activated protein kinase phosphatases affectUV-B-induced stomatalclosure via controlling NO inGuard Cells”在植物学领域顶级期刊----Plant Physiology发表,这是该课题组继2013年和2015年分别在植物学领域顶级期刊Plant Physiology和Plant Journal上发表关于气孔运动信号转导机制之后的又一项创新性成果。该文章首次报道了丝分裂原活化蛋白激酶磷酸酶MKP1及其靶蛋白MPK6分别作为负调节因子和正调节因子参与了UV-B辐射诱导拟南芥气孔关闭的信号转导过程,且它们在该信号转导过程中的作用是介导H2O2诱导NO的形成。课题组发表在Plant Science上的文章报道了MPK信号级联途径MEK1-MPK6参与暗刺激诱导气孔关闭的信号转导过程,且其作用也是位于H2O2和NO之间。该团队发表在Plant Physiology上的论文以研究生李封辰和王静为共同第一作者;发表在Plant Science上的论文以研究生张腾月和李封辰为共同第一作者,贺军民为两篇论文的通信作者。
Plant Physiology (ISSN: 0032-0889)由美国植物生物学家学会(American Society of Plant Biologists, ASPB)创刊于1926年,是世界上最古老、最权威的国际植物科学期刊之一,也是世界上最优秀的三大植物学原创研究刊物之一,JCR数据库最新统计数据显示2016年影响因子为6.58,在379种植物学领域期刊中排名第10。


王筱冰课题组在声光调控药物递送方面取得研究进展
王筱冰副教授课题组科研成果“Ultrasound-responsive polymeric micelles for sonoporation-assisted site-specific therapeutic action”和“Sensitivity to antitubulin chemotherapeutics is potentiated by a photoactivable nanoliposome”分别在工程技术领域顶级期刊ACS Applied Materials & Interfaces(影响因子7.504)和Biomaterials上发表(影响因子8.402)。
“Ultrasound-responsive polymeric micelles for sonoporation-assisted site-specific therapeutic action”论文追踪纳米医学精准治疗最新进展,构建了一种结构简单、生物安全性高,装配过程可控的Pluronic P123/F127负载姜黄素纳米颗粒,利用超声空化作用、声孔效应可逆调控聚合物胶束装配过程,实现了装载药物分子的精准释放。研究从离体和在体方面分别探究了该纳米颗粒的稳定性、安全性;不同强度超声阈值引导纳米颗粒靶向聚集和时空调节药物释放行为。结合纳米颗粒荧光示踪的潜能,为超声无创激活纳米药物靶向治疗肿瘤提供了依据。
该成果第一作者为吴鹏英硕士和贾亚丽博士,通讯作者为王筱冰副教授和香港中文大学许川山教授,公司为第一完成单位。该项研究依托公司西北濒危药材资源开发国家工程实验室和教育部药用资源与天然药物化学重点实验室、yl7703永利声光动力抗肿瘤研究平台,并得到国家自然科学基金、中国博士后科学基金面上一等资助项目、中国博士后科学基金特别资助项目、中央高校基本科研业务费特别资助项目等资助。

“Sensitivity to antitubulin chemotherapeutics is potentiated by a photoactivable nanoliposome”文章研究了光化学反应通过促进抗凋亡蛋白Mcl-1降解,抑制肿瘤细胞糖酵解作用从而阻断化疗药物作用后可能的能量代谢转换,进而增强线粒体依赖性细胞凋亡,为传统药物临床应用中的毒副作用和靶向治疗策略提供了设计思路。
该成果第一作者为王筱冰副教授,通讯作者为中国科学院深圳先进技术研究院郑海荣研究员和严飞研究员,该项研究依托公司教育部药用资源与天然药物化学重点实验室和中国科学院深圳先进技术研究院劳伯特生物医学成像研究中心,并得到国家973项目、国家自然科学基金、中国博士后科学基金、中国博士后科学基金特别资助项目、中央高校基本科研业务费特别资助项目等资助。

夏海滨课题组在Biotechnology and Bioengineering发表采用CRISPR/Cas介导的基因敲除技术建立新型HEK293细胞系的论文
夏海滨教授基因治疗课题组科研成果“Generation of apoptosis-resistant HEK293 cells with CRISPR/Cas mediated quadruple gene knockout for improved protein and virus production”在国际生物工程技术领域顶级杂志Biotechnology and Bioengineering发表,报道了该课题组在用病毒包装和蛋白表达细胞系HEK293研究上的重要进展。
HEK293细胞是病毒包装和蛋白表达常用的细胞,在生物工程领域有着重要的作用。然而在病毒包装以及蛋白表达过程中间,会导致宿主的凋亡,进而导致病毒活力、蛋白产量及病毒包装效率降低,尤其是在包装一些携带促凋亡基因的病毒或者表达一些促凋亡蛋白时,很难获得理想的病毒包装效率或蛋白表达量。多年来,研究人员尝试通过多种手段建立抗凋亡的宿主细胞系,取得了一定的成果,但仍未达到理想的效果。夏海滨教授课题组采用CRISPR/Cas技术,建立了高效的多基因敲除方法,采用该方法在HEK293细胞中同时敲除四个凋亡相关基因Caspase3、Caspase6、Caspase7和AIF1,获得了具有抗凋亡能力的HEK293细胞系,该细胞系能够同时抵抗来自细胞外和细胞内的促凋亡信号。采用该细胞系表达肿瘤基因治疗中常用的促凋亡蛋白Bax,可以使表达量提升两个数量级;采用该细胞系包装病毒,可以使病毒的包装效率提升3-4倍。这一研究成果在生物工程领域具有重要的应用价值,为将高质量的病毒颗粒用于疾病基因治疗的实验研究及疾病临床基因治疗研究奠定了重要基础。
该研究主要由学院团队博士后张伟锋完成。


王国栋课题组在植物激素功能研究上取得重要进展
王国栋副教授课题组科研成果在植物学顶级期刊New Phytologist上发表(影响因子7.33),课题组研究了独脚金内酯在模式植物拟南芥逆境适应中发挥功能的作用机理,揭示了一条与经典逆境激素ABA介导的信号通路既相对独立又相互交叉的植物抗逆信号通路,发现并确定了参与此信号通路的一些关键基因,为深入理解独脚金内酯参与植物逆境胁迫调控奠定了坚实的基础,同时此项研究表明独脚金内酯在提高植物抗逆上具有广泛的潜在用途。
该成果第一作者为2015级硕士研究生吕硕,通讯作者为王国栋,该研究课题得到了西北濒危药材资源开发国家工程实验室和药用资源与天然药物化学教育部重点实验室科研启动经费等项目的资助。
王国栋副教授课题组(http://www.plantstemcell.cn)主要致力于植物激素(经典激素与小肽激素等小分子化合物)调控植物生长发育与抗逆的研究,尤其侧重于(小肽)激素调控植物维管组织、气孔发育与运动以及植物分生组织干细胞增殖与分化分子调控机理的研究。课题组成立以来先后发表多篇高水平研究论文:Plant Physiol. 2016, 170:956-970;J Exp Bot. 2016, 67:3339-3351;BMC Genomics 2016, 17:174;Front Plant Sci. 2016, 6:1211;Front Plant Sci. 2016, 7:1436;Front Plant Sci. 2016, 7:1573;J Integr. Plant Biol. 2013, 55:389-394;Plant Growth Regul. 2017, 81:167-173;PLoS ONE 2017, 12(7):e0180449;Gene, 2017, 619:44-49),这些研究论文从不同的角度研究了(小肽)激素调控植物生长与发育的多个方面。